
摘要
卵泡破裂屬於正常女性月經週期的一部分,常常發生在下次月經前的第14天,所以,大部分人並沒有任何症狀,少部分人有少許陰道出血、下腹痛、白帶增多、體溫變高等症狀。排卵,對於生育期的女性來說,是一件如影隨形的事。一到排卵的時候,很多女性都會往自己身上套症狀,比如乳房有點痛或者下腹有點痛。排卵是身體的一個重要時刻,當接近排卵日或者排卵的時候,自然會和平常有點不一樣,而對於卵泡破裂時身體會出現什麼症狀之類的,詳情在文中便可知曉。
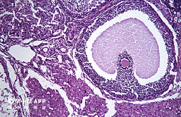
卵泡破了在臨床上指的是排卵,女性的排卵期發生在兩次月經之間,即下次月經來潮前的14天左右。排卵時常見症狀包括腹痛、腰痠,以及肛門墜脹感、少量出血、白帶異常、體溫升高等。具體會出現的症狀如下:
1、腹痛、腰痠
排卵時由於卵泡破裂,卵泡液進入盆腔後會刺激盆腔膜,從而導致女性會感覺在下腹部一側或雙側有隱痛感,部分女性除出現腹痛外,還可能會出現同側腰痠,腹痛以及腰痠一般會持續2-3天,即可自然消失。
2、肛門墜脹感
排卵時卵泡破裂,卵泡液流入到盆腔,會積聚在盆腔的最低部位,也就是子宮、直腸陷窩等部位。由於此部位與直腸鄰近,所以女性會感覺有輕微的肛門墜脹感,且出現便祕。肛門墜脹感通常會持續2-3天,即可自然消失,因為卵泡液在盆腔中會逐漸被腹膜吸收,只有繼發感染導致的盆腔炎症才會反覆出現肛門墜脹感。
3、少量出血
由於排卵時卵巢分泌的激素水平呈現波動,可能會導致子宮內膜部分脫落引起少量出血,也就是排卵期出血,一般陰道出血會持續2-3天,不超過5天出血量會逐漸減少,且自行消失。
4、白帶異常
卵泡破裂後雌激素減少,容易引起白帶增多,檢查呈現乳白色黏稠狀。
5、體溫升高
卵泡破裂會分泌大量孕激素,孕激素可刺激下丘腦的體溫中樞,從而導致體溫升高,一般會使體溫增高0.3-0.5℃。
6、乳房脹痛
卵泡逐漸發育成熟,體內的雌孕激素水平也會升高,刺激乳腺導管,促進乳腺管充血,有的女效能夠明顯感覺到乳房脹痛。
7、慾望提高
相關研究表明,排卵前女性的性驅動力和孤獨感會逐步增加,所以這個階段女性的性行為會更加活躍,心理上會對性生活表現出渴望,此時的行需求較高,不得不說,人體的本能反應真的很神奇。
8、食慾下降
在排卵期期間,女性的注意力很多時候都在異性而非食物上,這是人類自然本能保留至今的結果,所以女性排卵期內會導致食慾比較差。
卵泡從破裂到排出大約需要24小時的時間,多數女性在卵泡破裂卵子排出時沒有不適,只有少部分的女性可能會出現下腹一側酸脹疼痛或者有少量陰道流血。如果女性有懷孕的意願,可以在此期間同房,懷孕的機率就會增高,在排卵日及排卵日前後幾天同房懷孕的機率可達到90%以上。

排卵發生在兩次月經的中間時間,如果是月經週期規律,在下次來月經前14天為排卵日,已經在來月經的第10天左右檢測,排卵試紙出現兩道紅槓,提示在近期內會發生排卵或者通過B超檢測卵泡的生長髮育,長到2釐米左右時就會在很快時間內發生排卵。